Technology
Our state-of-the-art technology including hard and soft tissue laser, digital intra-oral scanner, digital radiographs and intra-oral camera allow us to deliver dentistry in the most efficient way possible.
Intra-oral camera
Pictures speak louder than words!
Dr. Do truly value the co-diagnosis process through photography with our patients. We show you why certain treatments are recommended. We listened to you and take into consideration of your needs and desires. We work with you as a team.
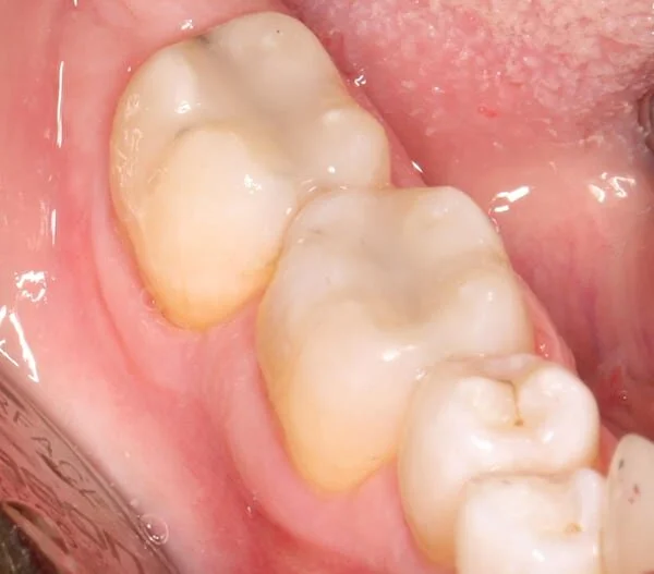
Old silver fillings (amalgam) result in cracks on lower molars.
Silver Fillings (Amalgam) were replaced with composite resin (tooth-color fillings).
Digital Radiographs
Digital radiographs with exquisite details, low radiation exposure and instant image offer the ultimate diagnostic capability.
Advantage of laser dentistry:
Safe, precise and non-invasive treatments
Procedures are typically painless
Effective cleaning and debridement
Simultaneous disinfection of the tooth structure
No mechanical pressure and vibrations
Call us for a new dental experience!
Digital Intra-oral Scanner
No more messy impression material!
CEREC Primescan is one of the most accurate intraoral scanners in digital dentistry with technology that includes smart pixel sensor and intelligent processing which scans 1.5 million 3D data points per second.
The CEREC Primescan® intraoral scanner allows us to capture digital impressions with an unprecedented image quality.
